아래에서는 엄지발가락 통증에 대해 자세히 살펴보려고 합니다. 사회인들이 딱딱한 구두나 작업화등 혹은 선천적 그리고 질환으로 통증이 다양하다고 합니다. 도움되는 정보가 많으니 자세히 살펴보시기 바라겠습니다.
엄지발가락 통증
엄지발가락 통증 - 내성발톱
정확한 질환명은 조갑감입증으로 발톱이 살을 파고들어 가면서 부종과 염증을 일으키는 질환입니다. 발병초기에는 간혈적 통증 정도지만 염증과 부기가 악화되면 발을 내딛기 조차 힘든 심각한 통증에 시달리게 돼요. 문제는 내성발톱으로 병원을 찾는 수가 적다는 것입니다. 현대인의 생활형 족지 질환인 내성발톱은 누구나 겪을 수 있는 만큼 통증을 참지말고 병원에 가서 적극적인 치료를 받아야 해요.






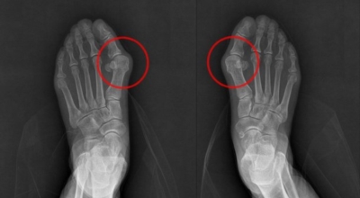
엄지발가락 통증 - 무지외반증
우리에게 잘 알려져 있는 엄지발가락 통증의 원입니다. 선천적 요인으로 인한 발병보다는 하이힐, 뾰족구두, 키높이 깔창과 같이 앞이 좁고 엄지발가락에 자극이 심한 신발 유행으로 후천성 환자가 늘어나고 있는 모습입니다. 체중 증가나 류마티스 관절염도 무지외반증의 이유가 되는 것입니다. 엄지발가락이 둘째 발가락으로 휘어지면서 대측으로 회전해서 제1중족 관절이 안쪽으로 돌출되는 무지외반증은 서있거나 걸어 다닐때 신발과 마찰해 통증과 염증이 발생해요.
엄지발가락 통증 - 중족골통
중족골통의 경우, 발가락 통증이라기보다 발가락 관절의 통증에 해당하지만, 환부에서 발가락 끝에 걸쳐 찡한 통증이 있다면 중족골통일 가능성이 높다고 합니다. 발끝으로 섰을 때 통증을 느낄 수 있답니다.






엄지발가락 통증 - 종자골염
종자골은 엄지발가락 밑에 위치한 발바닥 부분에서 튀어나온 뼈를 의미하며 종자골이 마찰 과 같은 이유가 되는 것에 의하여 엄지발가락이 붓고 통증이 나타날 수 있습니다. 발을 디딜 때 발바닥과 엄지발가락에 통증이 느껴진다면 종자골염을 의심해볼 수 있습니다.
엄지발가락 통증 - 통풍
밤부터 아침 사이에 화끈거리고 따끔거리는 엄지발가락 통증으로 잠을 이룰 수 없다면 통풍을 의심할수 있답니다. 통풍은 우리의 신체의 특정한 물질대사 단계의 이상으로 신체 안에 요산이란 성분이 과하게 쌓이게 되어 발생해요. 보통 혈액에 녹아 있다가 신장을 통해 대부분 소변으로 배설되는데 과한 요산이 생성되거나 배설에 장애가 생겨나게 되어 요산 결정이 침착되어 조직들의 염증 반응을 촉발해요. 비만이나 과체중인 분들에게 많이 발생하며 스트레스나 무리한 운동 등 몸이 피로할 때 몸 내부 노폐물의 축적과 함께 혈중 요산 수치가 높아져 나타나기도 해요.
고혈압이나 당뇨병 처럼 유전이 되기도 하는 통풍은 실제 전체 통풍 환자의 30 ~ 40%가 유전의 경향을 보이라서 가족력이 있으면 한번쯤 혈액검사로 요산 수치를 검사해볼 필요가 있어요. 보통 중년의 남성들에게 많이 나타나는 질환으로 염증성 급성 관절염이라고 불리기도 해요.






엄지발가락 통증 - 졸자골염
엄지발가락 밑에 위치한 발바닥에서 튀어나온 부분의 뼈를 종자골이라고 해요. 이 부위가 마찰이나 기타원인으로 인해서 붓고 통증이 아플수 있어요. 각별히 염증이 생기면 엄지발가락 통증이 수반돼요. 만약 발이 바닥을 디딜 때면 엄지발가락과 발바닥이 아프다면 종자골을 의심할수 있답니다.
엄지발가락 통증 예방법
발가락 통증을 예방하던가 완화하려면 제일 우선 발에 휴식을 주는 것이 먼저입니다. 오래 서있지 않고 발에 편한 신발을 신어 발을 자극시키지 않고 호전되길 기다려보다가 그래도 호전되지 않고 발가락에 통증이 느껴진다면 주사나 수술 과 같은 치료방법을 생각해볼 수 있습니다.
엄지발가락 통증 - 관절염
관절염은 선천적으로 엄지발가락 모양이 규칙적이지 않은 경우나 엄지발가락 발등뼈 길이가 긴 경우에 생기기 쉽답니다. 또 발이 안쪽으로 휘어있거나 비정상적인 걸음걸이가 습관이 된 경우 발병률이 높다. 이외에도 하이힐등의 발볼이 좁은 신발도 까닭입니다. 이런 신발을 신으면 엄지발가락이 휜 상태로 지내야 하므로 엄지발가락 연골 훼손이나 관절염 위험이 높아져요.






엄지발가락 통증 - 류마티스
류마티스도 엄지발가락 통증 이유가 되는 것이 될 수 있습니다. 물론 제일 처음 손가락에서의 관절 통증이 전해져 오는 게 특징적이지만 손가락 통증 이후 발가락에 통증이 전해졌을 때 손가락보다 발가락의 통증 강도가 강한 경우도 있습니다. 매번 아침에 일어날 때마다 몸 곳곳이 굳은 듯 뻣뻣함이 느껴지고 엄지발가락 통증은 물론 손가락, 무릎 등 몸 전체가 강직된듯한 느낌이 매번 든다면 류마티스를 의심해보셔야 해요.
엄지발가락 통증 - 결절종
야간에 통풍과 비슷한 양상으로 엄지발가락 통증이 생기는 결절종은 관절 옆에 주머니가 생겨 안에서 관절액이 변질된 후에 응고되는 질환입니다. 보통 엄지발가락 관절의 옆에서 물렁한 지방덩어리 같은 것이 만져지거나 눈에 관찰되는 경우도 있다고 하며 육안으로 확인되지 않기도 해요.
엄지발가락 통증 - 당뇨병
당뇨병으로 인한 당뇨병성 신경증이 엄지발가락 통증의 이유가 되는 것이 되기도 해요. 대부분이 엄지발가락이 차가운 느낌과 저림이 통증과 동반되어 나타나게됩니다. 당뇨 때문에 혈중 당 수치가 높아져요. 피속에 당분자가 너무 많아 혈액이 점조해져서 순환이 느려지고 지연되면 손발가락 끝등의 말초부위에 많이 축적이 될수 있답니다.
이렇게 되면 말단부의 혈관 또는 신경이 훼손을 입어 통증과 저림 증상이 나타나고, 발 쪽으로 감각이 둔화되면서 피부가 건조해지고 상처가 나면 낫지 않고 점점 더 심해져서 염증이 퍼지게 되어요. 당뇨병으로 인한 발 혈관의 순환 장애, 말초신경질환 부분적 궤양 또는 감염 과 같은 치료시기를 놓칠 경우 엄지발가락이 괴사 또는 합병증을 일으킬수 있어 각별한 주의가 필요해요.






발가락 통증 통풍에 좋은 음식
우리 몸속 장기들은 각기 다른 역할을 하지만 서로 긴밀한 연관성을 갖고 있기도 해요. 이 중 한 종류라도 문제가 생기면 건강상 위험한 영향을 끼칠 수 있답니다. 요즘 현대인들 사이에서 예사로 나타나는 질환 중 한 종류가 바로 요산 수치 증가입니다. 이것은 몸 안 대사 스탭에서 발생되는 노폐물인데 배출되지 않고 혈액 속에 남아 농도가 높아지면 통증 또는 관절 변형 증상으로까지 이어질 수 있어 조심하는 것이 좋습니다.
따라서 평소 요산 수치 관리에 도움 되는 식품을 연속적으로 섭취하며 식단 조절할 필요가 있답니다. 그렇다면 요산 수치 감소에 도움 되는 발가락 통증 통풍에 좋은 음식으로는 무엇이 있을까요? 현 시점부터 소개할 음식들을 참고해 보시기 바랍니다. 통풍에 좋은 음식은 수분함유하고 있는 분량이 높은 과일류입니다.
수박이나 참외 같은 여름 제철 과일들은 대부분 수분함유 분량이 높기 때문에 몸 안 쌓이게 된 요산을 배출하는데 큰 도움이 돼요. 각별히 키위는 비타민C가 오렌지의 2배, 사과의 6배 정도 더 많이 들어있다고 해요. 칼륨 또는 칼슘, 엽산 등 다양한 영양이 모두에게 포함되어 있기 때문에 면역력 강화에도 좋습니다. 또 양배추는 천연 해독제로 이름 난 가장 널리 알려진 식재료 중 한 종류로 염증 완화에 각별히 뛰어나다고 해요.
그 중에서도 푸른 겉잎보다는 속잎에 영양성분이 훨씬 많기 때문에 버리지 말고 사용할 수 있게 해요. 엄지발가락 통증에 대해 알아봤어요. 저의 포스팅 내용이 도움이 되셨으면 좋겠네요. 항상 건강하고 즐거운 하루 되시기 바랄게요.
우리가 생각해 볼 점이 많은 엄지발가락 통증에 대하여 알아보았습니다. 생각 외의 내용들도 많았는데요 잘 알아두시고 참고하셨으면 좋겠습니다. 감사합니다.
철분 많은 음식 10가지 필수 체크
오늘 이야기 해 볼 것은 철분 많은 음식에 대한 것인데요, 요즘 철분 많은 음식에 대한 인기가 높습니다. 특히 빈혈이 오기 쉬운 여자분들은 이 음식들을 잘 챙겨먹는게 건강 관리에 도움이 됩니
t0oday.kevenferry.com