오늘 얘기 해 볼 것은 폐렴 증상에 대한 것인데요, 요즘 폐렴 증상에 대한 경각심이 대두되고 있습니다. 아래단에서 자세한 내용 살펴보도록 하겠습니다.
폐렴이란
폐렴은 폐의 세기관지 이하 부위 특히나 폐포에 발생한 염증입니다. 폐렴을 유발하는 병원 미생물은 우리의 생활환경에 존재하고 있고 몸 안에 서식합니다. 폐렴의 가장 흔한 까닭은 미생물인 세균이나 바이러스이고, 드물게 곰팡이에 의한 감염이 있을 수 있습니다.
미생물에 의한 감염성 폐렴 이외에 화학물질이나 구역질물과 같은 찌꺼기의 흡인, 가스의 흡인, 방사선 치료 등에 의해 비감염성 폐렴이 발생할 수 도 있어요. 폐렴구균은 노인을 감염시키는 세균으로 가장 많이 알려져 있죠. 그리고 폐렴은 일상적인 예방이 중요합니다. 손씻기, 양치질, 구강 케어 등을 습관화하고 주변 환경을 깨끗하게 해주고 위생 관리를 해서 폐렴을 방지할 수 있답니다.






폐렴 종류
병원성 폐렴
병원에서 다른 질병으로 치료나 수술을 받는 동안 일어나는 폐렴이예요. 특히나 치료에 인공호흡기를 사용한 사람이 인공호흡기 연관 폐렴에 걸릴 위험도가 높아요.
진균성 폐렴
칸디다 및 폐포자충등을 곰팡이 유기체로 인해 나타나며 진균성 폐렴은 면역계가 약해진 사람들에게 더 많이 발생합니다. 연관 질병으로는 HIV(인체 면역 결핍 바이러스) 및 에이즈(후천 면역 결핍증) 환자들이 걸리기 쉽습니다.
바이러스성 폐렴
표준적으로 일어나는 폐렴의 종류인데요 호흡기세포융합 바이러스에 의해 일어나며 때로는 A형 독감이나 B형 독감으로 말미암아 일어나요. 이런 바이러스는 어린이 독감에서 오는 것이 일반적인 이유가 되는 것이예요.






흡인성 폐렴
토사물을 호흡하던가 구강 청결이 좋지 않아 구강의 좋지 않은 물질이 폐로 유입되었을 때 걸릴 수 있으며 연기나 화학물질 같은 해로운 물질을 흡입했을 때에도 발병할 수 있어요.
폐렴 증상
폐렴 증상 - 기침, 가래
증상으로는 기침과 가래가 있습니다. 일반적인 감기도 기침과 가래를 동반합니다. 하지만 폐렴은 그보다 더 심한 편이며 기침을 할때 통증이 동반되는 케이스가 대부분입니다. 그리고 묽은 색의 끈적거리는 가래가 많이 발생하는 증상이 나타납니다.
폐렴 증상 - 천명음
폐렴으로 인해서 기관지 협착이나 점액 증가하면서 기도가 좁아지면서 기도 저항이 세지면서 리듬성이 높고 휘파람 소리 같은 숨소리가 나오게 되어요. 천명음 같은 숨소리가 들린다면 폐렴을 의심해 볼 수 있어요.






폐렴 증상 - 호흡 곤란
폐에 염증이 생기면 폐를 구성하는 세포가 파괴되어 정상적인 산소를 저장할 수 없게 됩니다. 따라서 폐렴 증상이 나타나면 호흡 곤란을 겪는 경우가 많습니다.
폐렴 증상 - 가슴통증
폐렴의 환자들의 약 90프로 이상은 가슴 통증을 호소합니다. 잦은 기침은 가슴 통증을 유발합니다. 흉통이 있는 동안 기침을 쭉하다 보면, 심호흡이 통증이 더 심해질 수 있으므로 의사의 진찰을 빠르게 받는 것이 중요해요. 그리고 폐렴에 걸리면 날카롭고 찌르는 듯한 통증 및 둔한 통증을 경험할 수 있어요.






폐렴 증상 - 오한, 발열
폐렴으로 열이 나게 되면 인체에서 땀이 분비해 체온을 감소시키고 호르몬을 조절하므로 오한 증상을 동반하게 돼요. 증상이 발생하는 초반에 약물 치료를 받으면 오한은 금방 사라지기도 그렇지만, 열과 함께 오한을 경험한다면 증상이 더 심각해질 수 있기 때문에 빠른 처방이 필요합니다.
폐렴 증상 - 청색증
폐렴을 유발하는 페렴구균은 일반인 40%가 이미 갖고 있다고 하네요. 평상시에는 해가 없다가 면역력이 줄어들게되면 폐렴이 발병하는데 이 때에 폐에 산소가 부족하게 되면서 청색증이 타나날 수 있다고 하며 손, 발, 입술 처럼 피부가 얇은 곳이 새파랗게 변하게 된니다.





폐렴 예방접종 가격
폐렴 예방 접종도 발병의 이유가 되는 것이 여러가지데, 통상적으로 우리가 접종하는 폐렴 백신은 폐렴구균에 대한 백신입니다. 폐렴은 2가지로 나뉘어 지는데 다당류 백신 23가(PPSV 23)와 단백결합백신 12가(PCVI 13) 입니다. 다당류 백신 23가의 경우 5만원 전후이고, 단백결합 백신 13가의 경우 15만원 전 후 입니다.
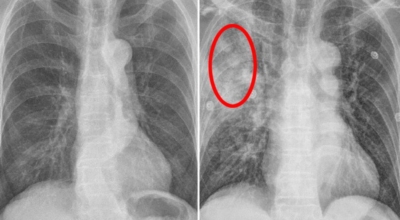
폐렴 증상 치료 방법
폐렴 증상이 있는 경우 X선 촬영 및 배양 검사로 진단할 수 있답니다. 필요에 따라 소변, 혈액, 혈청 검사, CT 등을 추가로 실시합니다. 폐렴 진단을 받은 환자는 일반적으로 입원을 권장하지 않지만 젊거나 기초질환이나 호흡곤란이 심한 경우, 고령, 임신 등의 경우 병원에 내원하여 상황에 맞는 신속한 치료와 상태 개선, 위험관리를 받는 게 좋아요.
폐렴 증상의 치료에서 가장 중요시되는 것은 항생제로 이유가 되는 것균을 제거하는 것으로 보입니다. 세균이나 바이러스 감염에 의해 발생하며 처음에는 항바이러스제를 통해 감기처럼 고치기도 합니다.
오늘 글에서는 폐렴 증상에 관하여한 정보를 전해드렸어요.
발렌타인 30년산 가격, 구매처별 차이
발렌타인 위스키는 위스키 팬들 사이에서 높은 평가를 받는 브랜드 중 하나입니다. 그 중에서도 30년산은 그야말로 프리미엄 위스키의 대명사입니다. 이 글에서는 발렌타인 30년산 위스키의 가
t0oday.kevenferry.com
벚꽃 개화시기 2024 (축제 일정 7군데 총정리)
오늘 이야기 해 볼 것은 벚꽃 개화시기 2024와 벚꽃 축제 일정에 대한 것인데요, 요즘 벚꽃 개화시기 2024에 대한 인기가 높습니다. 아래에서 자세한 내용 살펴보도록 하겠습니다. 벚꽃 개화시기 20
t0oday.kevenferry.com
블루베리 효능 10가지와 먹는법
이번에는 블루베리 효능에 대한 포스팅입니다. 블루베리는 항산화 효과가 매우 뛰어난 슈퍼푸드로 꼭 챙겨먹어야 할 과일 중의 하나입니다. 활용도도 다양하고 요거트나 시리얼에 섞어 먹는 것
t0oday.kevenferry.com